In-Office Teeth Whitening If you want a bright, attractive smile quickly and safely, in-office teeth whitening is the best choice....

Οδοντικό στρας: Μια διακριτική λάμψη στο χαμόγελο
Οδοντικό στρας: Μια διακριτική λάμψη στο χαμόγελό σου – κάθετη διάταξη & πεταλούδα Το οδοντικό στρας προσθέτει μια κομψή, λαμπερή...

Από τον πολυτερηδονισμό σε ένα υγιές και αισθητικά ισορροπημένο χαμόγελο
Από τον πολυτερηδονισμό σε ένα υγιές και αισθητικά ισορροπημένο χαμόγελο Από τον πολυτερηδονισμό σε ένα υγιές και αισθητικά ισορροπημένο χαμόγελοΣτην...

Ανασύσταση δοντιού με άξονα
Ανασύσταση δοντιού με άξονα Στις περιπτώσεις που υπάρχει μεγάλη απώλεια οδοντικής ουσίας ή με άλλα λόγια έχει χαθεί μεγάλο μέρος...

Ένθετα και επένθετα δοντιών.
Ένθετα και επένθετα δοντιών (inlays/onlays) – Τα εργαστηριακά κεραμικά σφραγίσματα. Τι είναι τα ένθετα και τα επένθετα; Πώς κατασκευάζονται;...

Γέφυρες και θήκες δοντιών.
Γέφυρες και Θήκες (Στεφάνες) Δοντιών Οι γέφυρες και οι θήκες αποτελούν αποκαταστάσεις που σταθερά συγκολλώ στο στόμα, με...
Εσωτερική Λεύκανση δυσχρωμικού δοντιού Σε περιπτώσεις που ένα δόντι έχει υποστεί οδοντικό τραύμα ή ως αποτέλεσμα απονεύρωσης μπορεί να παρατηρηθεί το συγκεκριμένο δόντι να έχει πιο σκούρο χρώμα από τα διπλανά του. Μπορεί να παρουσιάζεται ως έντονο σκούρο κίτρινο ή ακόμα και να γκριζάρει σε ορισμένες περιπτώσεις. Με την διαδικασία της εσωτερικής λεύκανσης μπορούμε να...
Τι είναι η εσωτερική λεύκανση;

Τεχνική Dental Bonding. Τι είναι; Πως γίνεται;
Dental bonding Μια ασφαλής και ανώδυνη τεχνική για θεαματικά αποτελέσματα στο χαμόγελο σας Τι είναι το bonding δοντιών ή αλλιώς...
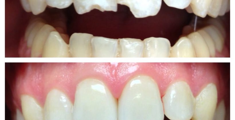
Λεύκανση δοντιών Η λεύκανση των δοντιών αποτελεί μια οδοντιατρική υπηρεσία που έχει ως στόχο να χαρίσει ένα όμορφο, λευκό και αστραφτερό χαμόγελο στον ασθενή. Όταν πληρούνται οι προϋποθέσεις της λεύκανσης και τηρούνται αυστηρώς τα πρωτόκολλα των λευκαντικών υλικών που χρησιμοποιούνται, είναι μια διαδικασία απολύτως ασφαλής για τον ίδιο τον ασθενή αλλά και για τα...
Λεύκανση δοντιών

Οδοντικό Στρας (Strass), τι είναι; πως γίνεται;
Οδοντικό Στρας (Strass), τι είναι; πως γίνεται; Αποτελεί ένα αξεσουάρ αισθητικού τύπου που τοποθετείται στα δόντια και εντάσσεται στο πλαίσιο...
- 1
- 2
